top of page
Dr.
Nelson
Dib Gadal
Cirugía Maxilofacial
Cirugía Ortognática
Implantología Avanzada


Cirugía Ortognática
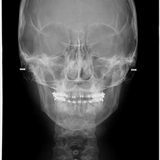
Paciente Clase II al cual se le realizó una cirugía sagital bilateral de rama y mentoplastía, para lograr una correcta proyección sagital facial y un centrado mandibular, mejorando la estética, función y componente psicológico.

bottom of page









